SMALL

전체 글 270

약, 영양제 - 식전, 식후, 공복 언제 먹을까?

1. 약과 영양제 복용의 대원칙: 왜 시간을 지켜야 할까?약과 건강기능 식품들, '언제 먹느냐'에 따라 효과가 더 좋거나, 혹은 부작용으로 고생할 수도 있습니다.복용 시간을 나누는 이유는 크게 세 가지입니다. 첫째는 흡수율 극대화, 둘째는 위장 장애 방지, 셋째는 치료 효과의 일정 유지입니다.특정 성분은 음식물과 섞여야 흡수가 잘 되는 반면, 어떤 성분은 위산에 취약해 공복에 빠르게 통과해야 합니다. 이 원리를 이해하면 내 몸을 지키는 가장 똑똑한 복용 루틴을 만들 수 있습니다. 2. 공복 및 식전 복용 (식사 30분~1시간 전) 공복 상태는 위장이 비어 있어 약물이 음식물의 방해를 받지 않고 가장 빠르게 흡수될 수 있는 환경입니다.유산균 (프로바이오틱스): 유산균의 가장 큰 적은 위산입니다. 식후에는 ..

카테고리 없음 2026.03.16

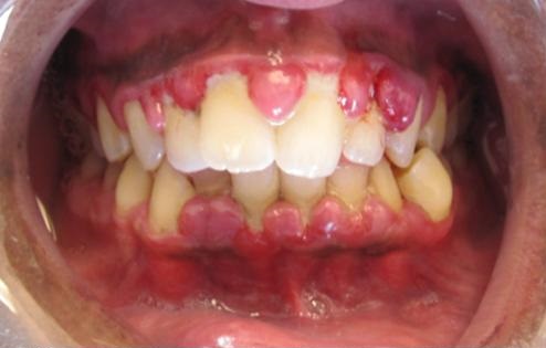
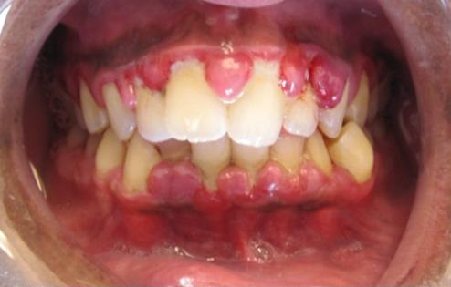
피나고 붓는 잇몸, 인사돌로 나을 수 있나?

1. 국민 잇몸약 인사돌 "이가 흔들리고 잇몸에서 피가 나는데 인사돌을 처방해 줄 수 있는가?" 라고 묻는 사람들이 간혹 있습니다. 인사돌을 잇몸 치료제로 생각하고 물어보는 것입니다. 워낙 광고로 친숙한 약이다 보니 그 효과에 대해 환상과 오해가 있는 편입니다. 오늘은 가정의학과 의사의 시선에서 인사돌의 핵심 성분인 '옥수수불검화물(ETAS)'의 정체와 그 의학적 한계, 그리고 올바른 활용법에 대해 깊이 있게 다뤄보겠습니다. 2. 인사돌의 핵심 성분: 옥수수불검화물(ETAS)이란? 인사돌은 옥수수의 눈(배아)에서 추출한 기름 중 비누화되지 않는 미세 성분(불검화물)을 정제한 것입니다. ** 불검화물이란: 식물이 종자를 보호하기 위해 기름 속에 섞어둔 '천연 약성 성분'으로, 기름 속에 섞인 일종의 ..

카테고리 없음 2026.03.13

여성의 폐암의 주범 가스레인지 vs 인덕션, 하이라이트 등은 어떤가?

흔히 '폐암' 하면 담배 연기를 떠올립니다. 실제로 남성 폐암 환자의 상당수는 장기간의 흡연이 주원인입니다. 하지만 최근 의료 현장에서 마주하는 데이터는 많이 다른 양상을 보입니다. 여성 폐암 환자의 약 90% 이상이 평생 담배를 피우지 않은 '비흡연자'이기 때문입니다. 그렇다면 무엇이 그녀들의 폐를 공격했을까요? 수많은 역학 조사와 의학적 연구는 그 주범으로 '주방 조리 환경'과 거기서 발생하는 '요리 매연(Cooking Fume)'을 지목하고 있습니다. 1. 남성과 여성, 폐암의 원인이 다르다? 폐암의 발병 기전은 성별에 따라 뚜렷한 차이를 보입니다.남성 폐암 - '흡연'의 결과: 남성 폐암은 주로 담배의 벤조피렌 등 여러가지 발암물질에 의해 발생합니다. 암세포의 종류도 대세포암이나 편평상피세포..

카테고리 없음 2026.03.11

매일 마시는 물, 당신의 정수기는 안전합니까?

우리의 몸은 70%가 물로 구성되어 있습니다. 최근 미세플라스틱 오염과 노후된 상수도 관의 이물질 문제가 대두되면서, 단순히 물을 거르는 기능을 넘어 '무엇을, 어떻게 거르느냐'가 정수기 선택의 핵심이 되었습니다.오늘은 정수기의 핵심인 '역삼투압(RO)'과 '중공사막(UF)' 방식의 차이점을 분석하고, 우리 집 환경에 가장 적합한 정수기를 고르는 기준을 의학적, 경제적 관점에서 정리해 보겠습니다. 1. 정수 방식의 핵심 원리: 역삼투압 vs 중공사막정수기 옆면의 스티커를 보시면 '여과 방식'이라는 항목이 있습니다. 여기서 가장 많이 접하게 되는 두 가지가 바로 역삼투압(RO)과 중공사막(UF)입니다. (1) 역삼투압(Reverse Osmosis, RO)의 과학많은 분이 역삼투압을 단순히 촘촘한 체에 ..

카테고리 없음 2026.03.10

나의 치아를 지키는 법: 왜 이제 '구강 유산균'에 주목해야 하는가?

우리가 매일 음식을 섭취하고 에너지를 얻는 통로인 구강은, 동시에 수많은 세균이 서식하는 거대한 생태계이기도 합니다. 오늘은 칫솔질만으로는 2% 부족했던 구강 관리를 완성해 줄 '구강유산균'에 대해 알아보겠습니다. 치아 관리는 양치질만 잘 하면 될까요? 그래도 충치가 생기고 잇몸이 망가지기도 합니다. 칫솔질은 중요하지만 완전한 해결책은 아니다 칫솔질은 당연히 매우 중요합니다.치아 표면에 붙은 음식물 찌꺼기와 치태(플라그)를 제거하는 가장 기본적인 방법입니다.그러나 구조적으로 칫솔이 닿지 않는 곳이 매우 많습니다.대표적인 곳이혀 뒷부분잇몸 깊은 곳(치주포켓)구강 점막목구멍 근처이런 곳에는 여전히 많은 세균이 존재합니다.또한 양치질은 세균을 줄이기는 하지만 완전히 없애는 행위는 아닙니다. 그리고 양치 후에..

카테고리 없음 2026.03.05

미세플라스틱 섭취를 줄이는 실천 전략

우리 몸에 소리 없이 쌓일 수 있는 미세플라스틱. 완전한 차단은 어렵지만, 일상 속 선택만 바꿔도 노출을 상당히 줄일 수 있습니다. 생수병 사용 줄이기 플라스틱은 고온에 노출될수록 화학적 결합이 약해져 미세플라스틱 방출량이 급증합니다.입자 발생의 주된 원인은 용기 내벽보다 뚜껑 개폐 시의 마찰에 있습니다. 나사산이 맞물려 돌아가며 플라스틱 입자를 마모시키기 때문입니다. 세척 후 재사용하더라도 뚜껑 마찰이라는 구조적 문제는 해결되지 않으며, 오히려 마모가 누적되어 노출 위험은 지속됩니다. 정수기 선택 일반 정수기는 필터 성능에 따라 미세플라스틱을 충분히 제거하지 못할 수 있습니다.단순 활성탄 방식은 한계가 있으며, 감소를 우선한다면 역삼투압(RO) 방식이 가장 효과적인 것으로 평가됩니다. 다만 미네랄..

카테고리 없음 2026.02.27

미세플라스틱 최신 연구 결과: 암, 치매, 파킨슨병, 심근경색증, 등

최근 수년 사이 미세플라스틱과 나노플라스틱에 대한 관심이 급격히 증가하고 있습니다. 과거에는 바다에 떠다니는 플라스틱 쓰레기 정도로만 인식되던 문제가, 이제는 음료, 음식, 공기와 인체 내부까지 영향을 미치는 건강 문제로 확장되었기 때문입니다.특히 분석 기술이 발전하면서, 이전에는 확인하지 못했던 수준의 작은 입자까지 검출되기 시작했고, 혈액, 태반, 혈관, 장기 조직에서 실제로 플라스틱 입자가 발견되었다는 연구 결과들이 잇따라 보고되고 있습니다. 이 글에서는 현재까지 알려진 연구들을 바탕으로미세플라스틱과 나노플라스틱의 크기 기준,인체에 미치는 영향,암 및 퇴행성 질환과의 연관성을 정리해보겠습니다. 1. 크기로 구분하는 미세플라스틱과 나노플라스틱 플라스틱 입자는 “얼마나 작은가”에 따라 인체 영향..

카테고리 없음 2026.02.25

미세 먼지가 심한 날도 창문을 열어야 합니다

미세먼지가 심한 날이면 창문을 꼭 닫아야 한다고 생각하기 쉽습니다. 그러나 실제로는 실내 공기가 더 빠르게 나빠지는 경우가 많습니다. 이유는 단순합니다. 실내에서는 계속해서 다양한 미세먼지와 유해가스가 발생하지만, 배출이 되지 않기 때문입니다.즉, 문을 닫아두는 것은 ‘외부 차단’이 아니라 ‘내부 오염 축적’이 될 수 있습니다. 1. 실내에서 계속 발생하는 미세먼지와 가스 사람이 생활하는 공간에서는 다양한 오염원이 동시에 존재합니다.피부에서 떨어지는 각질, 비듬이불 속의 매우 작은 진드기가 내뿜는 배설물 가루들 -> 이불을 펄럭이거나 할 때 공기 중으로 퍼짐옷과 침구에서 나오는 섬유 먼지사람이 걸어 다닐 때 발생하는 먼지들진공청소기 배기구에서 다시 나오는 초미세먼지이러한 먼지는 바닥에 있다가 사람이 움직..

카테고리 없음 2026.02.23

"공기청정기 위치, 왜 구석에 두면 안 될까? 효율 200% 높이는 배치 명당"

1. 공기청정기의 치명적 약점: '구석'과 '재흡입'대부분의 가정에서 공기청정기는 인테리어를 해치지 않기 위해 거실이나 방의 구석에 배치되곤 합니다.하지만 이는 공기청정기의 성능을 절반 이하로 떨어뜨리는 가장 큰 원인입니다. 공기청정기는 주변의 오염된 공기를 빨아들여 필터로 걸러낸 뒤, 깨끗해진 공기를 다시 내뿜는 '대류 현상'을 이용합니다. 만약 기기가 구석에 딱 붙어 있다면, 방금 내뱉은 깨끗한 공기가 벽에 부딪혀 다시 기기 속으로 들어가는 '쇼트 서킷(Short Circuit)' 현상이 발생합니다. 기기는 주변 공기가 깨끗하다고 판단해 가동률을 낮추지만, 정작 방 반대편의 오염된 공기는 그대로 남게 되는 것입니다. 2. 효율을 높이는 황금 법칙: '50cm'와 '사람의 길' 공기청정기 전문가들이 ..

카테고리 없음 2026.02.20

NASA가 입증한 공기정화식물 TOP 10, 화분 한두 개로는 부족한 의학적 이유

1. NASA 연구가 밝힌 실내 공기정화 식물의 실체 우리가 흔히 말하는 '공기정화 식물'의 개념은 1989년 미국 항공우주국(NASA)의 연구에서 시작되었습니다. 당시 NASA는 완전히 밀폐된 우주선 내부에서 승무원들의 호흡기를 보호하기 위해, 기계 장치 없이 식물만으로 유해 가스를 제거할 수 있는지 실험했습니다. 그 결과, 특정 식물들이 포름알데히드, 벤젠, 트리클로로에틸렌, 암모니아, 자일렌 등 인체에 치명적인 휘발성 유기화합물을 잎과 뿌리를 통해 흡수하여 제거한다는 놀라운 사실을 발견했습니다. [NASA 선정 대표 공기정화 식물 리스트]아레카야자: 실내 가습 효과와 포름알데히드 제거 능력 1위.관음죽: 암모니아 흡수 능력이 탁월해 화장실 근처에 적합.대나무야자(세이프리지): 벤젠과 트리클로로..

카테고리 없음 2026.02.19
반응형