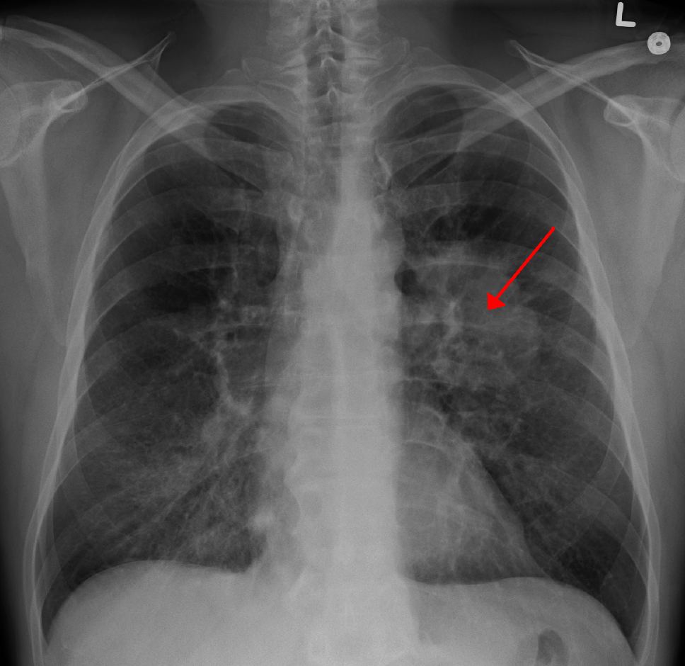
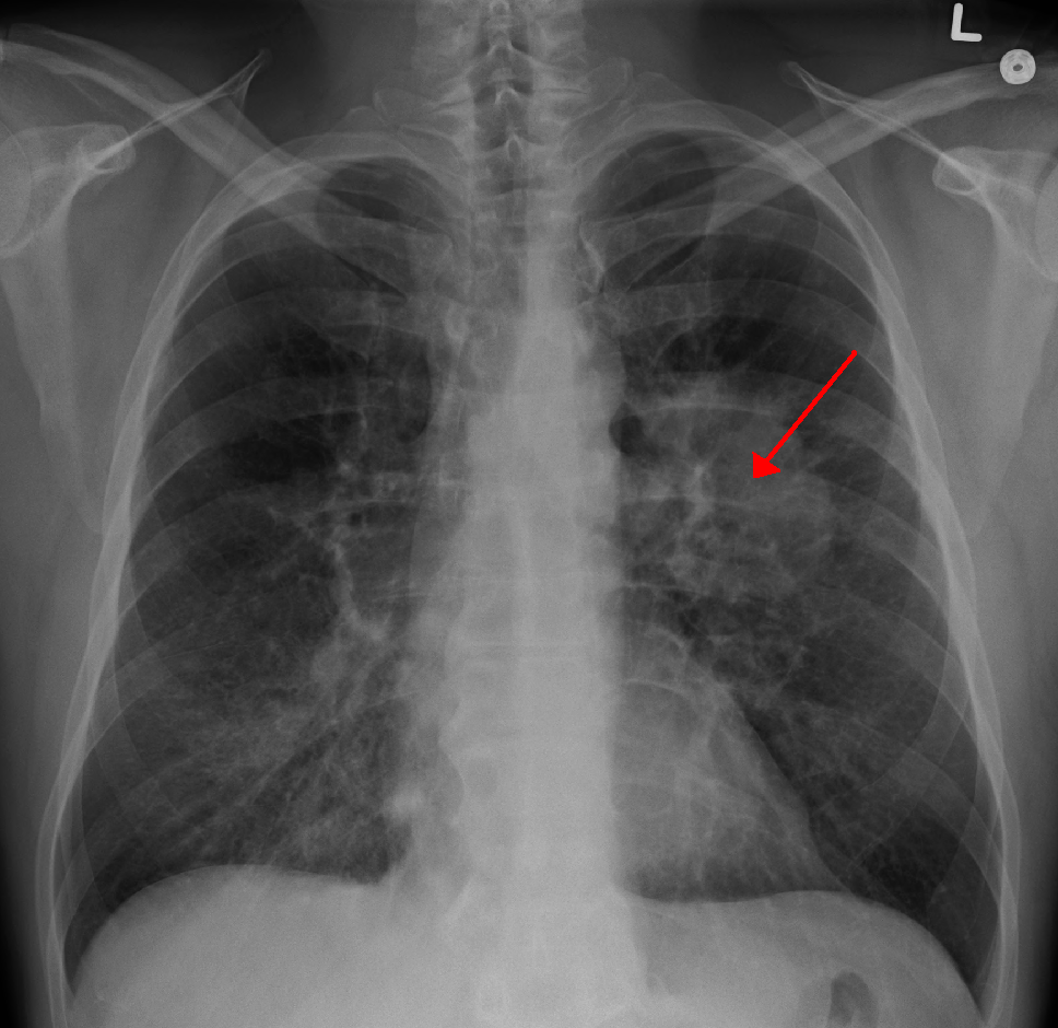
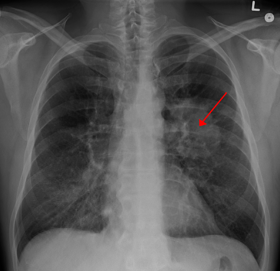
최근 한국에서 폐암 발생률이 꾸준히 증가하고 있습니다. 특히 비흡연자에서도 폐암 발병이 늘어나면서, 단순한 흡연 외에 다른 위험 요인에 대한 관심이 높아지고 있습니다.
그중 하나로 주목받는 것이 바로 미세먼지입니다. 세계보건기구(WHO)는 미세먼지를 1급 발암물질로 지정했으며, 국내외 연구에서도 초미세먼지가 폐암 발병과 밀접한 관련이 있다는 결과들이 발표되고 있습니다.

폐암 발생률 증가 추세
건강보험심사평가원의 통계에 따르면, 폐암 환자 수는 2019년 100,371명에서 2023년 127,950명으로 약 27% 증가했습니다. 특히 여성 환자 수는 같은 기간 동안 36% 증가하여, 여성 폐암 환자의 비율이 높아지고 있는 추세입니다. 과거에는 담배를 안 피우면 폐암의 가능성은 매우 낮았지만, 이제는 담배를 피우지 않아도 폐암의 가능성이 이전보다 많이 높아졌다는 것입니다.
또한, 폐암은 국내에서 가장 높은 사망률을 보이는 암으로, 2023년 암으로 인한 전체 사망자 중 폐암 사망자는 남성의 경우 26.3%, 여성은 15%를 차지했습니다
미세먼지와 폐암의 연관성
세계보건기구(WHO)는 미세먼지를 1군 발암물질로 분류하고 있으며, 초미세먼지(PM2.5) 농도가 1㎥당 5㎍ 증가할 때마다 폐암 발생 위험이 18% 증가한다는 연구 결과가 있습니다.
특히, 비흡연자에게서도 미세먼지 노출이 폐암 발병의 주요 원인으로 지목되고 있습니다. 국립암센터의 연구에 따르면, 폐암 환자 중 비흡연자의 비율은 약 30~40%에 달하며, 이들 중 상당수가 미세먼지와 같은 환경 요인에 노출된 것으로 나타났습니다.
또한, 영국 프랜시스크릭연구소의 연구에서는 초미세먼지가 폐암을 유발하는 유전자의 스위치를 켜서 폐암 진행을 촉진한다는 결과를 발표했습니다. 이 연구는 한국을 포함한 4개국의 대기오염 실태를 조사하고, 폐암 환자의 의료 정보를 분석하여 초미세먼지와 폐암 발생 간의 상관관계를 확인했습니다.
특이한 점은 한국에서는 비흡연자의 폐암 환자 비율이 약 30~40% 수준인데 반해 미국의 경우에는 이 비율이 10~15% 수준으로 적다는 것입니다. 한국과 미국에서 흡연을 하지 않는 사람들에서의 폐암 발생률의 현격한 차이는 한국의 고농도 미세먼지, 초미세먼지가 무관하지 않을 것으로 추정됩니다.

미세먼지가 폐암을 유발하는 메커니즘
미세먼지는 폐로 들어가 염증 반응을 유발하고, 이로 인해 폐암을 유발하는 유전자의 돌연변이를 촉진합니다. 특히, 상피세포성장인자 수용체(EGFR) 유전자 돌연변이에 의한 폐암 발생률이 높아지는 것으로 확인되었습니다. 이는 비소세포성 폐암 환자의 약 50%에서 EGFR 변이가 발견되는 아시아 지역에서 특히 주목할 만한 결과입니다.
또한, 동물실험을 통해 초미세먼지가 폐암을 유발하는 메커니즘도 규명되었습니다. EGFR 변이를 일으킨 모델 생쥐를 초미세먼지 농도가 짙은 환경에 노출하자, 염증 반응이 증가하고 폐암 발병률도 높아졌습니다. 반대로 염증을 촉진하는 단백질인 인터루킨-1 베타의 방출을 차단하는 항체를 투여하자, 폐암 발병률이 줄어들었습니다.
KF94 마스크의 효농은?
KF94 마스크는:
- 미세먼지(PM10): 거의 100% 차단
- 초미세먼지(PM2.5): 94% 이상 차단
- 초초미세먼지(PM0.3~0.4 수준): 94% 이상 걸러냅니다.
※ 0.3~0.4㎛의 초초미세먼지는 가장 작은 입자인데, KF94 기준은 이 경우에도 차단 성능을 검증받은 것입니다.
결론 및 권고 사항

한국에서 폐암 발생률은 증가하고 있으며, 특히 비흡연자에게서도 폐암 발병이 늘어나고 있습니다. 이러한 증가 추세는 미세먼지와 같은 대기오염과 밀접한 관련이 있다고 추정됩니다.
그러므로, 다음과 같은 예방 조치를 권고합니다:
- 미세먼지 농도가 높은 날에는 외출을 자제하고, 외출 시에는 KF94 이상의 마스크를 착용합니다. 미세먼지 농도를 확인하지 못했다면 기본적으로 미세먼지가 많을 것이라는 가정 하에 마스크를 기본으로 착용하는 것이 좋을 것입니다.
- 실내 공기질을 관리하고, 공기청정기를 사용하여 실내 미세먼지 농도를 낮춥니다.
- 진공청소기로 청소하는 중에도 미세먼지 마스크를 착용합니다. 청소기의 필터를 거치고 뒤쪽으로 초미세먼지가 많이 배출되어 온 집안을 오래 동안 떠다닐 수 있기 때문입니다.
- 정기적인 건강 검진을 통해 폐 건강 상태를 확인하고, 이상 증상이 있을 경우 즉시 전문의의 진료를 받습니다.
이러한 조치를 통해 미세먼지로 인한 폐암 위험을 줄이고 건강을 지킬 수 있습니다.
👉 이 글이 도움이 되신다면 티스토리 앱을 설치하고, 구독을 눌러서 지속적으로 구독할 수 있습니다
'플레이스토어 -> 티스토리앱 다운로드 -> '최닥라운지' -> 블로그-> 구독버튼'을 통해 매일 업데이트되는 의학 지식을 얻어가세요^^
'질병 예방하기' 카테고리의 다른 글
| 탄수화물은 무조건 나쁜가요? 위험성과 건강한 탄수화물 섭취법 총정리 (1) | 2025.05.03 |
|---|---|
| 누구나 꼭 챙겨야 할 건강보조제 – 과학적 근거와 함께 (3) | 2025.04.27 |
| 삼겹살 지방, 과도한 경계보다는 탄수화물 제한이 심혈관 건강에 더 중요 (5) | 2025.04.26 |
| 대상포진은 얼마나 무서운 병인가? - 일반인을 위한 모든 지식 (2) | 2025.04.25 |
| 혈압의 정상 범위, 고혈압 진단 잘못되는 경우, 손목혈압계 (3) | 2025.04.23 |