치약 시장에는 잇몸 건강, 시린 이 완화, 미백 등 다양한 기능을 내세우는 제품들이 쏟아져 나오고 있습니다. 하지만 치약 선택의 기준이 모호해지면서, 가장 중요한 ‘충치 예방’ 효과를 놓치는 경우가 많습니다.
나와 내 가족의 구강 건강을 위한 가장 현명한 치약 선택 기준과 기능별 성분을 명확히 알아보고, 올바른 사용 전략을 세워봅시다.

1. 치약 선택의 핵심, 불소는 무엇이고 왜 필수인가?
치약을 고를 때 가장 먼저 확인해야 할 성분은 바로 불소(Fluoride)입니다. 불소는 충치 예방에 있어 전 세계 치과 전문가들이 인정한 가장 핵심적인 성분입니다.
불소의 작용 기전
- 치아 강화 (재광화): 불소는 치아 표면을 산에 잘 녹지 않는 더 단단한 물질로 변화시켜 충치 발생을 억제합니다.
- 초기 충치 복구: 초기 단계의 충치 손상을 스스로 회복(재광화)하도록 촉진하여 충치의 진행을 막아줍니다.
- 세균 활동 억제: 충치를 유발하는 구강 내 세균의 산 생성 능력을 약화시켜 충치 발생 환경 자체를 개선합니다.
** 불소가 함유된 경우 다음과 같은 성분 중에 한가지가 있어야 합니다. 주로 '불소'나, '플루오로'자가 들어있으면 됩니다. 불화나트륨, 플루오르화나트륨, 플루오린화나트륨, 소디움 플루오라이드, 일불소인산나트륨, 일플루오르인산나트륨, 소디움 모노플루오로포스페이트, 불화주석, 스타너스 플루오라이드, 아민플루오라이드, 올라플루르, 불화칼륨
2. 성인용 치약: 반드시 확인해야 할 '불소 농도'와 사용 전략
충치 예방을 최우선 목표로 하는 성인이라면, 치약의 불소 함량은 타협할 수 없는 기준입니다.
성인 필수 기준: 불소 농도
성인의 경우, 충치 예방 효과를 극대화하기 위해 불소 농도가 반드시 1,000 ppm 이상 포함되어야 합니다. 특히 충치 발생 위험이 높거나 치아 사이에 음식물이 잘 끼는 사람이라면, 식약처 허용치 최대치인 1,450 ppm 또는 1,500 ppm 수준의 고불소 치약을 사용하는 것이 강력히 권장됩니다.
📅 올바른 불소 치약 사용 전략
불소는 양치 후에도 일정 시간 치아 표면에 남아있어야 효과를 발휘합니다.
| 시점 | 권장 치약 | 중요성 및 사용법 |
| 식후 (아침/점심) | 불소 일반 치약 (1,000 ppm 이상) | 음식물 섭취 후 산성화된 치아를 즉시 중화하고 불소로 보호해야 합니다. |
| 잠자기 전 (필수) | 불소 일반 치약 (1,000 ppm 이상) | 수면 중에는 침 분비가 줄어 세균 활동이 활발해지므로, 가장 꼼꼼히 닦아밤새 불소 보호막을 형성해야 합니다. |
3. 기능성 치약 비교: 미백, 잇몸, 천연 치약의 성분 차이
시중에 판매되는 치약들은 충치 예방 외에 다양한 추가 기능을 제공합니다. 나의 구강 고민에 맞춰 치약을 선택하되, 불소 농도가 충분한지 반드시 확인해야 합니다.
| 치약 유형 | 불소 함량 특징 | 중점 기능 성분 및 효과 |
| 잇몸/시린이 강화 치약 | 불소는 포함되지만,다른 기능성 성분을 강조합니다. | 염화나트륨(소금), 트라넥사민산등: 잇몸의 염증 완화 및 출혈 억제.질산칼륨등: 노출된 상아질을 덮어 시린 증상 완화. |
| 미백 치약 | 불소를 함유하지 않은 치약이 많이 있습니다. | 과산화수소등: 치아 표면에 침투해 착색 물질을 산화시켜 치아 색을 밝게 만듭니다. |
| 천연/유기농 치약 | 무불소(0 ppm)이거나, 충치 예방 효과가 미미한저농도 불소를 함유할 수 있습니다. | 화학 성분에 대한 우려를 가진 소비자를 위해 천연 추출물, 자일리톨 등을 강조합니다. |

미백 치약의 효율적인 사용법
원래는 희었던 치아가 착색된 경우 이는 표면에 색소 물질이 쌓여서 그런 것입니다. 가장 흔한 원인은 커피, 홍차, 와인, 콜라, 카레 등 색소가 강한 음료와 음식을 반복적으로 섭취하고, 흡연을 하는 것입니다. 또한, 양치질이 잘되지 않아 치태(플라크)가 쌓이는 것도 착색을 유발합니다.
위의 경우에 대해 미백 치약을 사용하는 것은 도움이 될 수 있습니다. 이는 하루 1~2회, 특정 시간에 집중하여 사용하는 것이 가장 효율적입니다.
- 권장 방법:하루에 1번, 저녁 양치 시에 불소화 미백 성분을 함께 가지는 치약으로 닦아주는 것은 해볼만한 방법입니다. 그러나 불소도 함유하고 미백 기능도 갖춘 치약을 찾기 어려우면 단순한 미백용 치약을 사서 낮에 커피를 마신 경우에 하루 한번씩 닦아주는 것도 괜찮은 방법으로 보입니다. 단 미백 치약에도 불소와 연마제가 들어있다면 치마 마모를 줄이기 위해 이를 강하게 닦지 말고 부드럽게 닦는 것이 좋을 것입니다.
- 커피나 간식을 먹은 후 미백 치약을 사용하면 착색 예방에 도움이 되는데, 다만, 산성 음료(콜라, 사이다, 과일 주스 및 과일 맛 음료, 스포츠 음료/이온 음료, 맥주 및 주류 등)을 섭취한 직후에는 법랑질이 더 쉽게 마모될 수 있으니 30분 정도 지난 후 닦는 것이 좋습니다.
4. 가장 민감한 선택, 소아용 치약과 치아 불소증 예방
성인과 달리 어린이는 치약을 삼키기 때문에 나이에 맞게 불소 함량을 많이 감소시킨 치약을 선택에 신중해야 합니다. 잘못된 치약 사용은 치아 불소증을 유발할 수 있습니다.
치아 불소증이란?
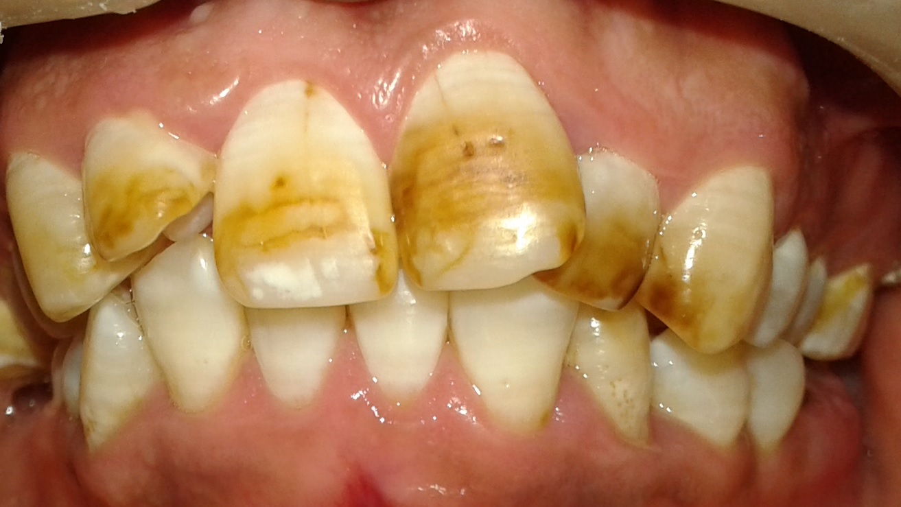
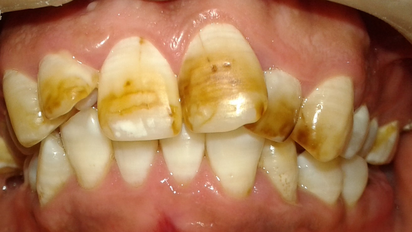
치아가 형성되는 시기(만 8세 이전)에 과량의 불소를 장기간 섭취했을 때 법랑질 발육 이상으로 생기는 현상입니다.
- 경미한 증상: 치아 표면에 작은 흰색 반점이나 미세한 줄무늬가 나타납니다.
- 심각한 증상: 치아가 누렇거나 갈색으로 착색되거나 표면이 울퉁불퉁해지는 등 미관상 큰 문제를 일으킵니다.

소아용 치약 선택 기준 (불소증 예방)
| 연령대 | 권장 불소 함량 | 권장 사용량 | 주의 사항 |
| 만 3세 미만 | 500~1,000 ppm또는무불소(보호자 판단) | 쌀알 크기 | 스스로 뱉지 못하므로 반드시 칫솔질 후 거즈로 닦아내야 합니다. |
| 만 3세~6세 미만 | 1,000 ppm 이하 | 완두콩 크기 | 뱉어내는 연습을 시키면서도 용량을 철저히 지켜야 합니다. |
| 만 6세 이상 | 1,000 ppm 이상 | 완두콩 크기 | 영구치가 나오는 시기로 성인과 같은 불소 농도로 충치 예방을 강화합니다. |

결론: 나에게 맞는 치약 고르기
가장 좋은 치약은 광고나 포장이 화려한 치약이 아니라, 나의 구강 상태와 가장 필요한 기능(충치, 잇몸, 미백)에 맞춰 불소 함량을 확인하고 올바른 양치 습관을 통해 꾸준히 사용하는 치약입니다.
중요한 것은 치약 사용의 1차 목적인 충치 예방을 위해 꼭 있어야 할 불소의 함량입니다. 유기농 치약이나 잇몸 치료 치약, 미백 치약 등은 불소를 함유하지 않은 경우가 매우 흔하므로 치약을 고르되 기본적으로 불소가 함유된 치약은 하루 세번 꼭 양치질 할 수 있도록 준비해야 합니다. 치약에 적당한 불소의 농도는 1000~1500ppm 이라 할 수 있습니다. 오늘부터 치약 튜브 뒷면의 '불소 농도'를 반드시 확인하고, 성인과 소아 모두 '용량'을 지키는 현명한 소비자가 되시기를 바랍니다.